10 декабря 2013 года Европейский Парламент отказался принять резолюцию, одобряющую доклад депутата из Португалии Эдиты Эстрела, утверждающий, что сексуальное образование детей вне зависимости от согласия их родителей и аборты являются «правами человека». На это решение повлияли совместные действия организаций, выступающих в защиту семьи и права на жизнь с момента зачатия и до естественной смерти из разных стран Европы. В результате утверждения доклада, страны ЕС, не принимающие аборты и противоречащее воле родителей «сексуальное просвещение» детей, могли подвергнуться серьезному давлению со стороны различных структур Европейского Союза и международных организаций, выступающих в поддержку сексуального радикализма и абортов. По мнению противников доклада, его утверждение поставило бы под угрозу принцип субсидиарности и стало бы недопустимым вторжением в компетенцию национальных властей с общеевропейского уровня. Ранее депутаты […]
Публикации с меткой "aборты"
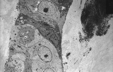
Последние исследования подтверждают, что аборты повышают риск развития рака груди
По данным специалистов из Коалиции по борьбе с абортами и раком груди, в 53 из 69 эпидемиологических исследований, проведённых за 1957-2013 гг., учёные обнаружили повышение риска развития рака груди у женщин с абортом в анамнезе
Дублинская декларация об охране материнского здоровья
Декларация была представлена на Международном симпозиуме по охране материнского здоровья в Дублине, в сентябре 2012 г. и подписана выступавшими там специалистами.
Риск преждевременных родов возрастает у женщин, совершавших аборты
Обширное исследование, проведенное в Финляндии, показало, что аборты негативно отражаются на последующих беременностях
